口腔科科普常识
根管治疗
根管治疗是针对牙齿、牙髓、根尖病变的一个治疗过程。医生用根管治疗专用器械通过彻底去除感染的牙髓以及感染的牙本质和毒性分解产物,经过根管冲洗、消毒和严密填塞根管,隔绝细菌进入根管再感染,防止根尖周病变的发生或促进根尖周病的愈合。
根管治疗是目前针对牙髓病、根尖周病患牙最好的治疗方法。
一般来讲,患有牙髓炎,牙髓坏死,各种类型的根尖周炎的患牙都适于作根管治疗。对于残冠残根牙,修复科需要进行桩冠修复的,根管治疗术是必要的前提。

龋齿
龋齿是细菌引起的牙体硬组织进行性破坏的一种疾病。治疗龋齿的主要方法是充填。即将龋坏组织去除净,作成一定的洞形,清洗、消毒以后,用充填材料填充,并恢复牙齿缺损的外形和功能。有时深龋在去净龋坏组织以后牙髓就暴露了,就需要先进行牙髓治疗,然后才能填充。目前充填材料主要以复合树脂类为主。
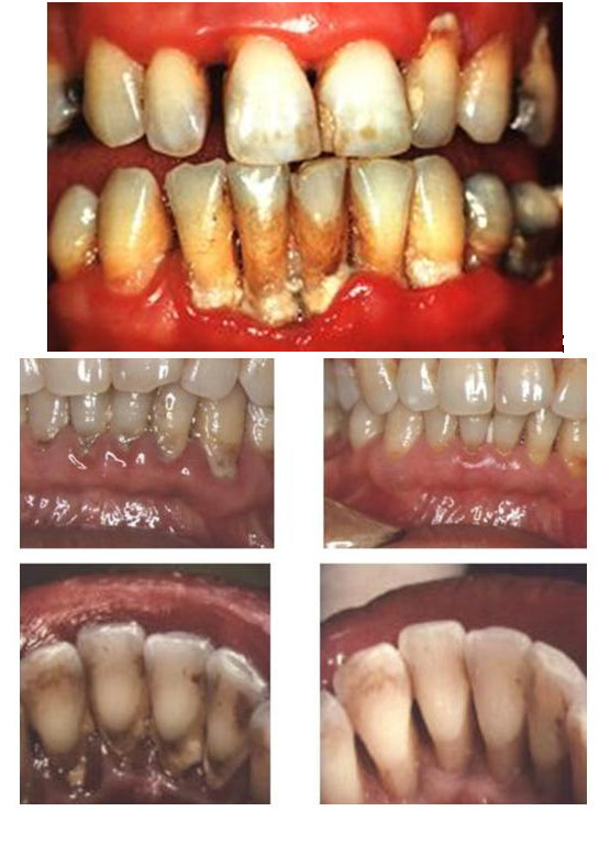
牙周炎系统治疗——化腐朽为神奇
如果把牙齿比做树木的话,那么,牙周组织就如同树木赖以生存的土壤。“皮之不存,毛将附焉”,长时间未经治疗的牙周疾病,会引起牙齿松动,脱落,带来无法挽回的后果。但由于牙周疾病临床症状不明显,患者不会感觉明显不适,等到患者就诊的时候,往往为时已晚。而根据卫生部的统计,牙周炎是我国中老年人牙齿脱落的最主要原因。定期进行口腔检查,及时发现病治疗牙周炎,对维护牙周健康和牙齿的稳固是至关重要的。
牙周疾病的治疗,必须在牙周科医生和患者的相互配合下才能够完成。治疗之始,牙周科医生需要对患者全口牙周情况进行评估,制定治疗方案,并通过龈上洁治、龈下刮治、必要的牙周手术等一系列治疗手段,消除牙周组织炎症,恢复健康的牙周环境。在此基础上,还需要患者严格遵照医嘱,在日常生活中采用恰当的口腔清洁器具,严格维护口腔卫生,定期进行牙周复查,只有这样,才能保证牙周治疗的最佳效果。
相信通过我们共同的努力,一定可以达到世界卫生组织制定的健康标准:60岁以上的老年人,全口至少保留26颗以上的牙齿。


牙周病
2011-09-22
表现:物理刺激牙龈易出血;患病区牙龈充血水肿;牙周炎者可探及
牙周袋;牙齿呈不同程度松动;X光照片可见牙周炎者的牙槽
骨不同程度吸收;牙周脓肿;口臭……
病因:局部因素
1.菌斑是指粘附于牙齿表面的微生物群,不能用漱口、水冲洗等去除。现已公认,菌斑是牙周病的始动因子,是引起牙周病的主要致病因素。
2.牙石是沉积在牙面上的矿化的菌斑。 牙石对牙周组织的危害,主要是它构成了菌斑附着和细菌滋生的良好环境。牙石本身妨碍了口腔卫生的维护,从而更加速了菌斑的形成,对牙龈组织形成刺激。
3.创伤性咬合:包括咬合时时的早接触、牙合干扰、夜间磨牙等。
4.其他包括食物嵌塞、不良修复物、口呼吸等因素也促使牙周组织的炎症过程。
全身因素:
牙周病的发生,局部因素是主要的。全身因素在牙周病的发展中属于促进因子,包括有:内分泌失调、糖尿病、饮食和营养 因素、血液病、长期服用某些药物、遗传因素。
治疗和预防:基础治疗——手术治疗——正畸、修复治疗——维护期治疗


智齿
2011-09-22
智齿,学名第三磨牙,俗称智慧齿、立事牙、尽头牙,是口腔最靠近喉咙的牙齿,如果全部生长出来一共4颗,上下颚各两颗,一般是于16岁或之后才生长出来,相较于幼儿时期长出的乳齿与儿童时期更换的恒齿,智齿通常是在人类心智已经趋于成熟时才长出,因而得名。
智齿阻生的发病率较高,其危害主要表现为以下几点。
(1)反复发作的冠周炎。阻生的智齿牙冠周围软组织与牙齿之间形成一盲袋,引起食物、细菌的积存,抵抗力下降时,出现冠周炎是必然的。一般的消炎治疗治标不治本,因此冠周炎会反复发作。
(2)龋齿。位置不正的智齿与第二磨牙之间容易积存食物残渣,而且不易清洁,一般数月可形成龋齿,直接破坏牙体组织。
(3)阻生的智齿往往不能与对颌牙齿建立正常的咬合关系,长时间可导致颞下颌关节弹响、张口疼痛,夜磨牙等症状,对轻壮年的身心健康影响较大。
(4)有证据表明一些阻生智齿是某些三叉神经痛的病灶所在。
容纳牙齿的颌骨不断退化变小,因而智齿阻生是必然的结果。拔除阻生的智齿对咀嚼、语言等功能无任何不良影响,加之拔除是治疗阻生的最有效的办法,因此,建议尽早、果断地拔除引起上述危害的阻生智齿。

正畸的特点
通过不锈钢托槽、陶瓷托槽、无托槽隐形牙套等矫正器,对牙齿施加机械力量,将牙齿排列整齐,使其恢复正常咬合。
优缺点分析:牙齿矫正既可以达到口腔面部美观的作用,还能改善咀嚼、发音等功能,但牙齿矫正是一个长期治疗的过程,至少需要两三年,所以矫正前患者应该做一些咨询,了解整个疗程和费用,同时在这个过程中,咀嚼、发音乃至牙齿美观都会受到一定程度的影响,并且需要定期去医院复诊,这些因素都是需要考虑的。
限制人群:牙齿正畸没有严格的年龄限制,在12~13岁完全换成恒牙以后,牙齿的排列、对合相对来说比较稳定了,即可进行矫正。正畸期间牙周状况需要定期维护。另外,一些全身疾病如甲亢、糖尿病、结核病、精神病等一般不宜矫正。

种植牙
种植牙也叫人工种植牙,并不是真的种上自然牙齿,种植牙而是通过医学方 式,将与人体骨质兼容性高的含钛金属经过精密的设计,制造成类似牙根的圆柱体或其他形状,以外科小手术的方式植入缺牙区的牙槽骨内,经过约3 个月后,当人工牙根与牙槽骨结合后,再在人工牙根上制作烤瓷牙冠。因不具破坏性,种植牙已被口腔医学界公认为缺牙的首选修复方式。植入的种植牙由于深植牙槽骨内,可承受正常的咀嚼力量,功能和美观上几乎和自然牙一样,因此,被人们称为人类的第三副牙齿。
优点:1 、功能强
2 、不磨牙
3 、美观
4 、舒适方便

牙齿美白
造成牙齿着色,发黄的原因很多,一般来说分为内源性和外源性两种:外源性着色是由于牙齿表面存在着多种细菌,它们在牙齿表面分泌许多黏性物质,日常饮食中的茶垢、烟渍、以及饮用水中的某些矿物质和人们唾液中的矿物质吸附在这些黏性物质上形成菌斑和牙石,逐渐使牙齿变黄或变黑。
内源性着色是在牙齿发育过程中形成的,如四环素沉积在牙本质内,就会使得牙齿变成黄色、棕色或暗灰色,称为四环素牙;如果饮用水中含氟过多,也可能导致氟斑牙,牙面呈白噩色、棕褐色斑块;如果牙髓坏死后,细菌分解牙髓的代谢物,以及牙齿本身的脱水也会让牙齿变色。
外源性的着色需要通常通过洁牙就可以还原牙齿原本的色泽。而内源性着色,往往就需要通过化学漂白或者遮盖美白来完成。牙齿美白的方法本质上讲只有两种,一种是化学漂白,另一种是遮盖美白。还原牙齿本色的洗牙、洁牙,严格说不能算美白牙齿。

镶牙
镶牙即恢复缺失牙的外形和功能。形式主要包括活动义齿、固定义齿和种植义齿。活动义齿:利用剩余天然牙或粘膜作为支持,通过卡环和基托将义齿固位于剩余天然牙上,同时,利用人工牙行使咀嚼功能,可以自行摘戴的一种修复体。优点是:适用范围较广,磨除牙体组织少,便于洗刷,易于修理和加补,费用低。缺点是:佩戴初期可能有疼痛、影响发音等不适,金属卡环可能影响美观,此外,日常需餐后摘戴,护理不到位可能会影响天然牙的健康。

固定义齿:是利用缺牙区一侧或两侧的天然牙作为基牙,在基牙上做各种类型的固位体,缺牙区做桥体,通过连接体连接成一整体,最后用粘固剂固定在基牙上,患者不能自行取戴的一种修复体。由于其结构与桥梁相似,故又称固定桥。优点是:患者佩戴无不适感,美观,不影响生活品质。缺点是:对基牙有一定要求,需要磨除部分基牙,费用较活动义齿高。
种植牙齿也叫人工种植牙,是通过医学方式,将与人体骨质兼容性高的纯钛金属经过精密的设计,制造成类似牙根的圆柱体或其他形状,以外科小手术的方式植入缺牙区的牙槽骨内,经过 1~3 个月后,当人工牙根与牙槽骨密合后,再在人工牙根上制作人工牙冠。种植牙可以获得与天然牙功能、结构以及美观效果十分相似的修复效果,已经成为越来越多缺牙患者的首选修复方式。因不具破坏性,种植牙已被口腔医学界公认为缺牙的首选修复方式。
